• (212) 744-5544
  • 333 E 79th St. New York, NY 10075
  • Mon - Thu 10:00am to 6:30pm
  • Home
  • About
    • Dr. Igor Korotun DDS
    • About East Side Smiles
    • Our Team
    • Testimonials
    • Frequently Asked Questions
  • Services
    • Cosmetic Dentistry
    • Preventive Dentistry
    • General Dentistry
    • Pediatric Dentistry
    • Teeth Replacement
  • Smile Gallery
  • Specials
  • Patient Info
    • Intake Forms
    • Insurance
    • Financing Options
    • Request Appointment
    • Get Directions
  • Contact Us
Request Appointment

Smile Gallery

Home - Smile Gallery

Smile Gallery

See the Smiles We've Transformed

At East Side Smiles NYC, we take pride in transforming smiles and restoring confidence. Our Before & After Gallery showcases real patient results, highlighting the quality of our work in cosmetic, restorative, and general dentistry. From subtle improvements to dramatic transformations, each case reflects our commitment to precision, artistry, and personalized care. Explore our gallery to see how Dr. Igor Korotun and the team can help you achieve the healthy, beautiful smile you deserve.

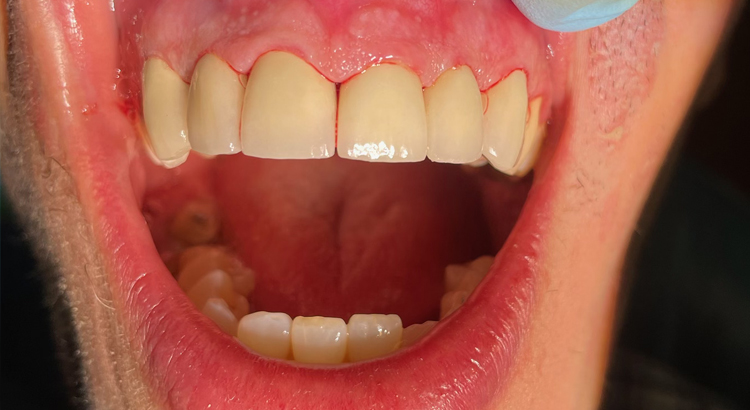
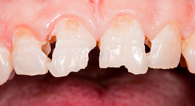
Before After
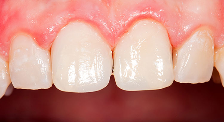
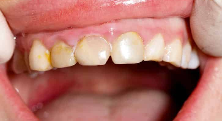
Before After
Before After
Before After
Before After
Before After
Before After
Before After
Before After

Contact Us

333 E 79th Street
New York, NY 10075
(212) 744-5544
Fax: (212) 744-5556
eastsidesmiles333@gmail.com

Patient Info

  • Intake Forms
  • Insurance
  • Financing Options
  • Request Appointment
  • Get Directions

Our Services

  • Cosmetic Dentistry
  • Preventive Dentistry
  • General Dentistry
  • Pediatric Dentistry
  • Teeth Replacement

Map Us Out


© Copyright - East Side Smiles NYC. All Rights Reserved. Developed & Designed By: webguyny